Black History Not History,Yet
YWCA McLean County
Form, Function, and Family New Birth Center Aims for Contemporary Comfort

By M. Ross Fully functional, familiar and friendly, fashionable. It’s a tall order, but one the Bloomington-Normal Birthing Center and its team of designers and builders intend to fill for Central Illinois mothers this spring. In November, construction was well underway in retooling the former Debra T. Thomas Learning Center at 6 Westport Court, overseeing […]
The First Step to a Healthier You The Journey With Bariatric Surgery
Illinois Bariatric Center
The Basics of Breast Cancer
Mid-Illinois Hematology & Oncology Associates
The Hearing Bone’s Connected to the What?
Submitted by Courtney Parmley, AuD, and Joanna Capobianco, AuD, Central Illinois Hearing and Balance Center Once upon a time, before people knew any better, they thought that hearing loss was simply a part of growing older — something not worth doing much about. They were wrong. Turns out, hearing loss isn’t fussy about age. More […]
Athletes and Varicose Veins
The Vein Specialists
You Can Teach an Older Dog New Tricks

Heartland Community College
Respite Care and Short-Term Rehab for Seniors and Caregivers
Heritage Health
Winter Brings the SAD Season

Anjum Bashir, MD
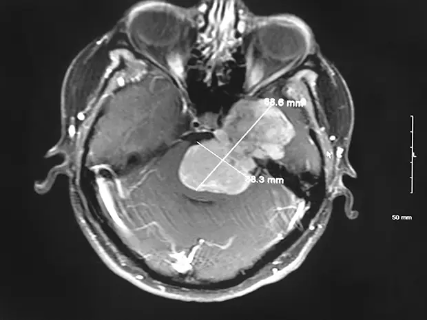
Brain Tumors When Timing Is Critical

Central Illinois Neuro Health Sciences